Dental Articles
59 clinical articles written by leading dental experts

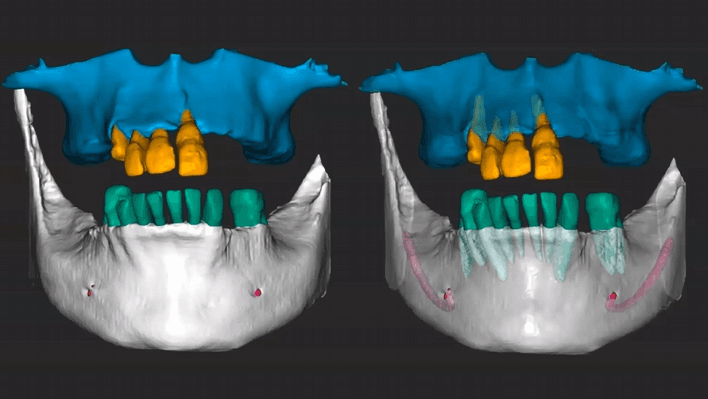
Digital Dentistry
Digital Workflow in Dentistry: A Practical Guide for Modern Practices
Four leading clinicians explain how intraoral scanning, jaw tracking, 3D printing, same-day zirconia, and injection-molded composites are reshaping how modern d...
Read Article →

Dental Hygiene
The Best Dental Podcast for Hygienists in 2026
The best dental podcast for hygienists in 2026 isn't just about hygiene — it's the one that makes you a better clinician. Here are the shows that deliver the mo...
Read Article →

Medical Emergencies
Medical Emergencies in the Dental Office: How to Prepare, Prevent, and Respond
Three quarters of all dental office medical emergencies are stress-related and preventable. Here's what every dental professional needs to know about preparatio...
Read Article →

Dental Education
Best Dental Podcasts 2026: Top 12 Shows for Dental Professionals
Looking for the best dental podcasts in 2026? We've compiled the top 12 shows for dentists, hygienists, and dental team members, covering everything from clinic...
Read Article →

Ergonomics
Equipment, Layout, and Posture: Your Guide to Operatory Ergonomics
Chronic pain doesn’t have to be part of the job. Learn how ergonomics expert Stephanie Botts, RDH, BSDH helps dental professionals prevent pain and protect thei...
Read Article →

Infection Control
Waterline Contamination Risks and How Autoclave Automation Helps Keep You Compliant and Protected
Hidden dangers in dental waterlines and sterilization failures can put both patients and practices at risk. Infection control expert Amanda Hill, RDH, reveals h...
Read Article →

Digital Imaging
CBCT Technology: What Really Matters When Making Your Purchase Decision
CBCT technology has transformed modern dentistry, offering diagnostic capabilities that extend far beyond implant placement. Learn what really matters when choo...
Read Article →

Practice Management
The Three Pillars of Practice Success: People, Process, and Production
Running a successful dental practice in today's challenging environment requires more than clinical excellence. With rising costs, stagnant insurance reimbursem...
Read Article →

Laboratory/Technicians
The Dentist and The Lab: Real-World Insight from Famous Lab Technician Luke Kahng
Famous lab technician Luke Kahng has an uncomfortable truth: only 30% of dentists truly excel at digital dentistry. He reveals the most common impression mistak...
Read Article →

Pediatric Dentistry
Modern Pulpal Therapy for Primary Teeth: Current Best Practices
Primary teeth may be temporary, but their importance to a child's development cannot be overstated. Discover Dr. Carla Cohn's evidence-based recommendations for...
Read Article →

Practice Management
The Growth Mindset: Essential for Success in Modern Dentistry
Success in modern dentistry isn’t just about mastering hand skills - it’s about embracing growth, learning from setbacks, and staying curious. Dr. Sara Kuckhoff...
Read Article →

Sleep Medicine
The Business of Better Sleep: Adding Dental Sleep Medicine to Your Practice
With 25% of adults affected by obstructive sleep apnea (OSA) and 80% of cases undiagnosed, dentists have an unprecedented opportunity to help patients while gro...
Read Article →